Desejo a todos meus leitores e os meus clientes de Acupuntura um Feliz 2015.
Que o espírito de Natal e esperança continuem a nos guiar durante o ano.
terça-feira, 23 de dezembro de 2014
quarta-feira, 3 de dezembro de 2014
Câimbras na panturrilha(músculo gastrocnêmio)
A causa mais comum de câimbras é após exercícios, ou seja, forçar o local sem prepará-lo, com alongamento;
Ventosas
Nos pontos ASHI (pontos de dor) fazendo uma pressão negativa no local
Laser
Se afetar um tendão ou nervo usar no local da dor(pontos ashi).
Acupuntura tradicional com agulhas
Nos acupontos VB30 ou VB31 para evitar novas câimbras e melhorar a dor;
e acupontos locais do canal da bexiga.
Gelo local
Inicialmente ele provoca uma vasoconstrição (contração) o que faz com que a pele fique pálida por diminuição do fluxo de sangue e posteriormente uma vasodilatação (relaxamento).
Repouso.
Se as cãimbras continuarem sem motivo aparente,procurar um médico para fazer um hemograma para ver se é falta de potássio,sódio ou magnésio no sangue.
quinta-feira, 6 de novembro de 2014
Ciatalgia(Dor no nervo Ciático)
O nervo Ciático ou Isquiático é o mais calibroso e tem longo trajeto, suas fibras descem até o pé;
E quando o nervo está inflamado (Ciatalgia) atinge os locais por onde se localiza e os locais de dor ou formigamento mais intensos é a face posterior do quadril e coxa.
Medicina Chinesa
Pode ser causada por agressão do Vento-Umidade-Frio ou por fatores mecânicos como Hérnia de disco, Artrose entre outras causas (Tratado de Medicina Chinesa)
Tratamentos Acupuntura
Acupuntura Sistêmica: principais são o VB30; B52; VB31 entre outros, conforme a localização do trajeto.
Acupuntura Auricular (Auriculoterapia):Shen Men; SNV; Rim; Relaxamento Muscular; Ciático; Analgesia; Vértebras Lombares (parede)
(Lado direito na orelha direita e lado esquerdo na orelha esquerda.)
Eletroacupuntura:VB31 e Shang-Feng-Xi (Extra 111)
Ventosaterapia:VB30,B52,VG3,B23.
quinta-feira, 30 de outubro de 2014
Eletroacupuntura e moxa na redução de medida abdominal: ≈ CETN
A Eletroacupuntura complementa minha monografia OBESIDADE E REDUÇÃO DE MEDIDAS ABDOMINAIS, TRATAMENTO COM ACUPUNTURA E MOXABUSTÃO.
Eletroacupuntura e moxa na redução de medida abdominal: ≈ CETN
quinta-feira, 25 de setembro de 2014
Periartrite de Ombro(Tendinite e Bursite)
A Periatrite de Ombro ocorre por disfunções ligadas a problemas em Ossos, Tendões e Músculos.
O tratamento com a Acupuntura é de acordo com a síndrome na Medicina Tradicional Chinesa como o Rim para os Ossos, o Fígado para Tendões e O Baço para músculos, como podem dois padrões simultâneos.
Pontos distantes: E38, ID3, P9, IG11, IG4
Pontos Locais: IG15, IG14, extra Jian Nei Ling.
E para tratar a síndrome VB34, BP6, F8, R7.
Se for Vento-Frio: Moxabustão em B23, VC4
Calor: VG14(agulha em dispersão(sedação))
Umidade: BP9, E40
Se usar o Laser para inflamação local, usar pontos distintos dos pontos da Eletroacupuntura ou nos mesmos pontos em dias alternados.
sábado, 2 de agosto de 2014
Doenças e Síndromes tratáveis com Acupuntura(OMS)
DOENÇAS E SÍNDROMES TRATÁVEIS COM A ACUPUNTURA
A partir de 1970, tiveram início diversos estudos científicos no sentido de comprovar a eficácia da acupuntura. Em 1979, a Organização Mundial de Saúde (OMS) editou uma lista com 41 doenças que apresentaram excelentes resultados com o tratamento de acupuntura. Após vinte e cinco anos de pesquisas em renomadas instituições do mundo, a OMS publicou o documento Acupuncture: Review and analysis of reports on controlled clinical trials, no qual expõe os resultados destas pesquisas. Neste documento foi analisada a eficácia da acupuntura – assim como das técnicas de moxabustão, ventosa, sangria, eletro-acupuntura, laser-acupuntura, magneto-acupuntura, massagem shiatsu / tuina e acupressura (pressão digital nos pontos) – em comparação com o tratamento convencional para 147 doenças, sintomas e condições de saúde.
A seguir apresentamos o resultado de eficácia da acupuntura, devidamente verificado pela medicina científica. Constam as afecções físicas, os distúrbios orgânicos, as desordens mentais e psicossomáticas, as condições específicas dos homens, mulheres e convencional)
A seguir algumas doenças e Síndromes:
Afecções da cabeça:
Dor de cabeça:shiatsu / tuina:alívio imediato em 48% dos casos
Acupuntura:alívio imediato em 66% dos casos
eletro-acupuntura:alívio imediato em 80% dos casos
diminuição da freqüência em 50% dos casos
alteração significativa no exame de eletromiografia
Dor crânio-mandibular:acupuntura tradicional: eficácia similar ao tratamento convencional (imobilização)
acupuntura intradermica: eficácia em 60% dos casos
Disfunção da ATM:eficácia similar ao tratamento convencional
Espasmo facial:shiatsu / tuina: eficácia em 40% dos casos
acupuntura: eficácia em 70% dos casos
Afecções do sistema endócrino:
Obesidade:supressão do apetite em 95% dos casos
Diabetes mellitus:redução do açúcar do sangue em 20% dos casos
Afecções psíquicas e psicossomáticas:
Depressão:eficácia similar à medicação convencional, mas sem efeitos colaterais
Ansiedade: eficácia superior à medicação convencional
Insônia:o sono foi totalmente normalizado em 98% dos casos
Síndrome do stress competitivo:eficácia em 93% dos casos
Ouvidos:ataque súbito de surdez eficácia em 90% dos casos após 2 semanas
Zumbido eficácia em 23% dos casos (superior à medicação convencional)
Nariz:Sangramento nasal:cura obtida em 85% dos casos
Sinusite e Obstrução nasal:melhora significativa
Afecções masculinas:
Impotência sexual(não orgânica):eficácia em 60% dos casos
Ejaculação precoce:eficácia em 83% dos casos
Inflamação na próstata: alívio dos sintomas e melhora das funções sexuais superior à medicação convencional
Dependência química:
Tabaco:aumento na vontade de não fumar em 13% dos casos
Redução no hábito de fumar em 20% dos casos
Redução no prazer de fumar em 70% dos casos
Desintoxicação de álcool:redução do álcool no sangue
Desintoxicação de tabaco:redução da concentração de nicotina
Fonte:OMS
terça-feira, 22 de julho de 2014
Acupuntura trata doenças inflamatórias fatais
Acupuntura trata doenças inflamatórias fatais: Agora já se começa a falar em procurar por medicamentos que possam imitar os efeitos da acupuntura.
sexta-feira, 18 de julho de 2014
sexta-feira, 4 de julho de 2014
ESTÉTICA FACIAL
Um dos tratamentos da Acupuntura estética facial para rugas de expressão:
Lavar e tonificar o rosto;
Ventosa facial e sentidos variados,conforme o local e tipo de ruga;
Agulhas para o rosto em sentidos diversos, conforme o tipo de ruga;
Eletroacupuntura;
Eletropuntura com caneta, para Auriculoterapia em rugas peribucais.
Entre outras técnicas INVASIVAS E NÃO INVASIVAS
Antes e Depois do Dermaroller
quarta-feira, 25 de junho de 2014
Sol ativa material que mata pernilongo da dengue
Sol ativa material que mata pernilongo da dengue: Em contato com a água e sob luz solar, o material impede a eclosão dos ovos dos pernilongos e mata as larvas.
quarta-feira, 11 de junho de 2014
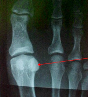
Sesamoidite
Sesamoidite é uma inflamação nos ossos sesamóides que causa muita dor e incômodo;
Os sesamoides se localizam embaixo da articulação do Hálux, são dois ossos de tamanho pequeno como dois feijões;
Entre as causas são o salto alto;Pé cavo;Corredores;Bailarinos.
Tratados convencionalmente com anti-inflamatórios,analgésicos e Fisioterapia;
O médico Ortopedista também costuma receitar, uma palmilha ortopédica para diminuir a pressão sobre os metatarsos.
Através da Acupuntura usa-se um magneto (imã) do lado rugoso para sedar a dor e
Eletropuntura com o aparelho HAIHUÁ com bons resultados.
Laser de baixa frequência para dor e inflamação.
Os sesamoides se localizam embaixo da articulação do Hálux, são dois ossos de tamanho pequeno como dois feijões;
Entre as causas são o salto alto;Pé cavo;Corredores;Bailarinos.
Tratados convencionalmente com anti-inflamatórios,analgésicos e Fisioterapia;
O médico Ortopedista também costuma receitar, uma palmilha ortopédica para diminuir a pressão sobre os metatarsos.
Através da Acupuntura usa-se um magneto (imã) do lado rugoso para sedar a dor e
Eletropuntura com o aparelho HAIHUÁ com bons resultados.
Laser de baixa frequência para dor e inflamação.
terça-feira, 20 de maio de 2014
VENTOSAS E O USO POR ENFERMEIRAS no passado
O uso de ventosas no início das atividades do Enfermeiro
Segundo publicações de até 1945, as enfermeiras brasileiras realizavam um cuidado de Enfermagem artesanal.
“O uso de ventosas era comum nos ensinos da Enfermagem em casos de descongestionamentos de órgãos e sistemas, analgesias, alívio de dispneias e hiperemias”.
Utilizavam-se as ventosas clássicas ou a Ventosa de Bier, além de álcool e fósforos.
Fonte:Rev Enferm UFSM 2014 Jan/Mar;4(1):38-4
Enfermeiras Pioneiras de 1950
quinta-feira, 3 de abril de 2014
Jin ji du Li
Melhora a qualidade de vida de idosos, levando a uma menos ocorrência de quedas.
Aumenta o equilíbrio;
Os especialistas chineses sugerem a prática diária de Jin Ji Du Li por um minuto apenas, uma vez que ajudam a prevenir a demência. Especialistas dizem que a prática diária de Jin Ji Du Li pode ajudar na cura de muitas doenças ou doenças como - hipertensão, açúcar elevado no sangue ou diabetes , pescoço e doenças da coluna vertebral, mas também pode impedir que você comece a demência. Jin Ji Du Li ajuda a fortalecer a imunidade do corpo rapidamente É adequado para todos em geral. É a cura básica para "Cold Feet Disease "e também pode reforçar a imunidade do organismo. Você não tem que esperar até que você tenha alguma doença para começar a praticar Jin Ji Du Li. É especialmente benéfico para os jovens, quando eles praticam diariamente, enquanto eles são saudáveis, para que suas chances de contrair a doença associada a vários envelhecimento é comparativo menor.
Fonte:The Times of India-Fitness
por Selma Sinha.
quinta-feira, 27 de março de 2014
Doenças Respiratórias- OUTONO.
Na medicina chinesa a relação com a natureza é um dos princípios causadores de desarmonia no ser humano(patologia) e no Outono o órgão(Zang) é o Pulmão,a víscera(Fu)o Intestino Grosso,podendo causar a secura.
A emoção do pulmão é a tristeza
Essa é uma das razões que nesta época aumenta os casos de desarmonias ligadas ao pulmão como a Melancolia e a Depressão.
Como a principal função do pulmão é governar o QUI a pessoa fica suscetível a agressão do vento frio, podendo aumentar as síndromes respiratórias como a Asma, Rinite, Sinusite, Tosse, Bronquite.
Aumentar a imunidade (Wei defensivo) que fica logo abaixo da pele;
Para Secura aumentar a ingesta líquida e pontos fonte.
Acupontos locais, para alergia; melhorar o qui defensivo,fortalecendo o Yin do Pulmão.
A emoção do pulmão é a tristeza
Essa é uma das razões que nesta época aumenta os casos de desarmonias ligadas ao pulmão como a Melancolia e a Depressão.
Como a principal função do pulmão é governar o QUI a pessoa fica suscetível a agressão do vento frio, podendo aumentar as síndromes respiratórias como a Asma, Rinite, Sinusite, Tosse, Bronquite.
Aumentar a imunidade (Wei defensivo) que fica logo abaixo da pele;
Para Secura aumentar a ingesta líquida e pontos fonte.
Acupontos locais, para alergia; melhorar o qui defensivo,fortalecendo o Yin do Pulmão.
sexta-feira, 7 de fevereiro de 2014
Planta chinesa cura dor para a qual não há tratamento atualmente
Planta chinesa cura dor para a qual não há tratamento atualmente: A raiz de uma planta é eficaz não apenas para aliviar a dor em geral, mas também contra um tipo de dor para a qual não existe tratamento atualmente.
sexta-feira, 17 de janeiro de 2014
Acupuntura Sistêmica e Acupuntura nos Microssistemas.
Acupuntura Sistêmica e Acupuntura nos Microssistemas.
Qualquer corpo que possuir velocidade terá energia cinética.
A equação matemática que a expressa é Ec:m V²/2 (Ec:energia cinética)
As técnicas da Acupuntura fazem com que o excesso ou falta de Energia seja distribuída,realizando a cinética(movimento)dessa energia;
Nos microssistemas que representam o corpo Humano a ação da Acupuntura é mais rápida porque o mecanismo é fisiológico:Acupuntura auricular(Auriculoterapia),Quiroacupuntura(Acupuntura nas Mãos),Escalpoacupuntura(Cranioacupuntura): estes são os microssistemas mais conhecidos e "usados".
Enquanto que a Acupuntura Sistêmica equilibra as energias que se acumulam em um meridiano(excesso)e consequentemente falta a energia em outro meridiano(deficiência);
A Acupuntura Sistêmica tem por finalidade equilibrar essa energia;
O lugar no corpo humano que produz energia são as mitocôndrias e que a Acupuntura faz fluir a energia nos meridianos(canais);
A fisiologia energética é o campo de atuação da acupuntura Sistêmica!
É através da manipulação desse campo que são corrigidos os desequilíbrios, na prevenção e promoção favorecendo a saúde!
Note que aqui, estamos falando de energia (circulação energética). Esse conceito, propagado pela Medicina Tradicional Chinesa, é um conceito milenar, filosófico.
Esse é um dos motivos pela qual a ACUPUNTURA, foi declarada patrimônio Imaterial e Intangível da Humanidade!
adaptado de:Acupuntura Bobando Enfermeiro.
Qualquer corpo que possuir velocidade terá energia cinética.
A equação matemática que a expressa é Ec:m V²/2 (Ec:energia cinética)
As técnicas da Acupuntura fazem com que o excesso ou falta de Energia seja distribuída,realizando a cinética(movimento)dessa energia;
Nos microssistemas que representam o corpo Humano a ação da Acupuntura é mais rápida porque o mecanismo é fisiológico:Acupuntura auricular(Auriculoterapia),Quiroacupuntura(Acupuntura nas Mãos),Escalpoacupuntura(Cranioacupuntura): estes são os microssistemas mais conhecidos e "usados".
Enquanto que a Acupuntura Sistêmica equilibra as energias que se acumulam em um meridiano(excesso)e consequentemente falta a energia em outro meridiano(deficiência);
A Acupuntura Sistêmica tem por finalidade equilibrar essa energia;
O lugar no corpo humano que produz energia são as mitocôndrias e que a Acupuntura faz fluir a energia nos meridianos(canais);
A fisiologia energética é o campo de atuação da acupuntura Sistêmica!
É através da manipulação desse campo que são corrigidos os desequilíbrios, na prevenção e promoção favorecendo a saúde!
Note que aqui, estamos falando de energia (circulação energética). Esse conceito, propagado pela Medicina Tradicional Chinesa, é um conceito milenar, filosófico.
Esse é um dos motivos pela qual a ACUPUNTURA, foi declarada patrimônio Imaterial e Intangível da Humanidade!
adaptado de:Acupuntura Bobando Enfermeiro.
Assinar:
Postagens (Atom)












